Invisalign®

 

Candid Smiles Dentistry Invisalign Special

Attend an Invisalign consultation on "National Align Your Teeth Day", August 11th, 2022 to receive $2,100 off of your Invisalign treatment

Standard Pricing $5,600.00 | Promo Pricing $3,500.00. Must book consultation time in advance.

Call Us to Book

Invisalign: A clear alternative to traditional braces 

 With the use of top-of-the-line, custom Invisalign® treatment, Candid Smiles Dentistry can help you have the healthy, straight, beautiful smile you’ve been waiting for!

A Proud Member of AACA

A Proud Member of AACA

One of the primary concerns people often have about dental braces is the aesthetic impact of the metalwork on their smile. Especially for adults, the prospect of wearing unattractive metal braces for long periods of time can be very discouraging.  Invisalign® offers an almost invisible aligning system that straightens teeth fast and contains no metal.

Invisalign® treatment consists of a series of custom-made aligning trays.  The dentist changes the trays every several weeks to fit the new tooth configuration.  In addition to the reduced visual impact, Invisalign® aligning trays can be temporarily removed for important occasions – meaning that treatment duration is patient-controlled.  A great number of people report complete satisfaction with both the Invisalign® treatment and the stunning results.

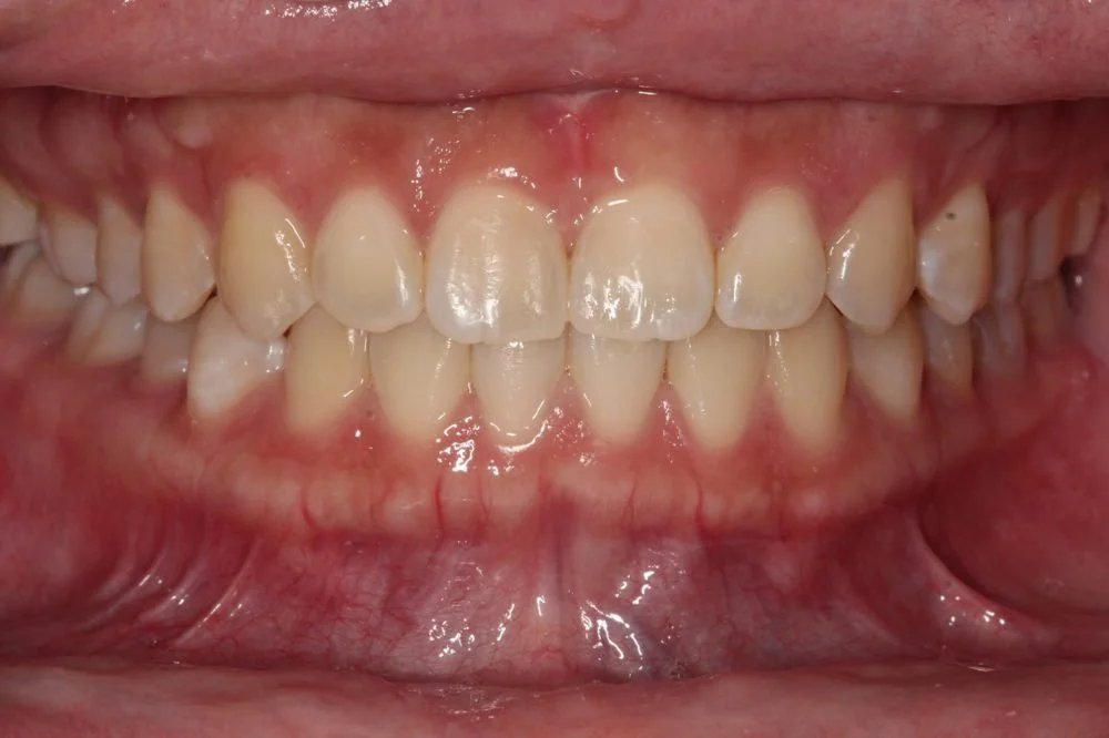
Candid Smiles Dentistry Invisalign Before

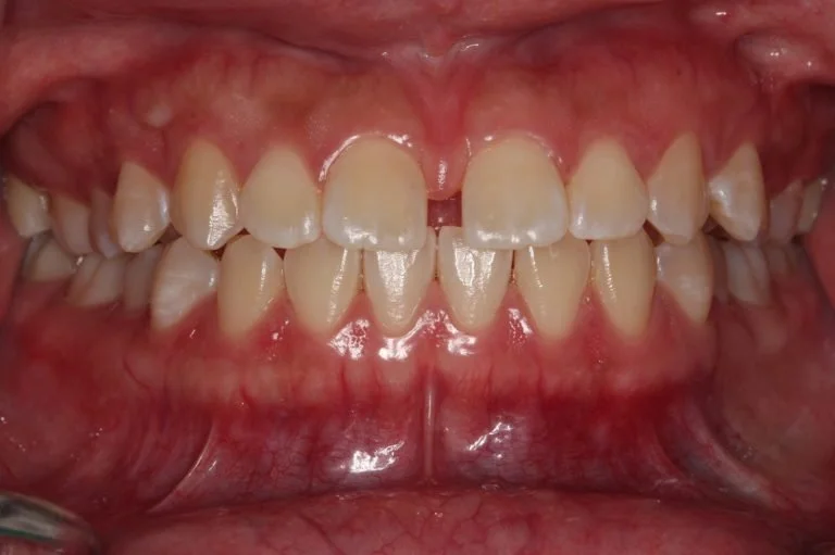
Candid Smiles Dentistry Invisalign After

What kind of bite problems can Invisalign® correct?

Invisalign® corrects the same dental problems as traditional metal braces; the only difference is that Invisalign® trays are almost invisible to the naked eye, and can be removed at will.

Here are some problems that are commonly corrected with Invisalign®:

  • Overcrowding – This occurs when there is too little space for the teeth to align normally in the mouth. Overcrowding can cause tooth decay and increase the likelihood of gum disease.

  • Large gaps between teeth – This can sometimes occur because teeth are missing or because the jaw continues to grow abnormally.

  • Crossbite – This common dental problem occurs when one or multiple upper teeth bite inside the lower teeth. As a consequence, uneven wear can lead to bone erosion and gum disease.

  • Overbite – This problem occurs when the upper teeth project further than, or completely cover, the lower teeth. Eventually, jaw pain and TMJ may occur.

  • Underbite – This is the inverse of the overbite; the lower teeth project further than, or completely cover, the upper teeth. Eventually, jaw pain and TMJ can occur.

What advantages does Invisalign® offer over traditional braces and veneers?

Traditional dental braces, Invisalign® aligning trays, and dental veneers are three different ways to perfect the alignment of the teeth.  There are many different considerations to make when deciding which treatment will be best, and each of these options works better in certain situations.

Invisalign® differs from traditional braces in that the aligning trays are fully removable.  This means that more discipline and commitment is required from the patient.  This is not usually a problem since the trays are comfortable and nearly invisible.  Almost identical results can be obtained by using either treatment.

Invisalign® is preferable to veneers in many cases because unlike veneers, Invisalign® actually straightens the teeth. Veneers are thin covers that the dentist permanently affixes to the teeth.  Teeth must be etched beforehand, meaning that to remove dental veneers, an alternative covering must be constructed.  In addition to being somewhat expensive, veneers can break and often last for less than 20 years.

What does Invisalign® treatment involve?

First, the dentist needs to devise an initial treatment plan before creating the special aligning trays.  Three-dimensional digital images are taken of the entire jaw.  These images allow the dentist to move specific teeth on the screen, view the jaw from different angles, and also foresee what the face might look like in years to come.  In essence, this technology can show how Invisalign® trays will change the facial aesthetics.

Once planning is complete, a unique set of aligners is made.  The total amount of aligners required varies with each individual case, but 20-29 sets per arch is typical.

What are some considerations when wearing Invisalign® trays?

Life with Invisalign® aligning trays may take several weeks to get used to.  The trays should be worn constantly, except when eating and drinking.  It is important to remove the trays when consuming food or drink because food can become trapped between the tray and the teeth, causing tooth decay.

Usually, new trays are necessary every two weeks, and progress between appointments can be seen with the naked eye. There is no doubt that Invisalign® aligning trays have revolutionized orthodontics.  Invisalign® is renowned for being both comfortable and effective.

If you have questions about Invisalign®, please contact our office.


Creating beautiful smiles in Cypress.

Candid Smiles Dentistry

 

Schedule an appointment or contact us with questions.

Call Us